Best Care. Best Results.
Blepharoplasty Treatment in Sussex
The appearance of the eye area can change gradually over time, often making you look more tired or older than you feel. Sapphire Eye Care offers specialist blepharoplasty for patients across Sussex, providing expert-led eyelid surgery designed to restore definition, comfort, and confidence. Our consultants deliver precise, natural-looking results supported by comprehensive patient care.


What Eyelid Surgery Can Address
Blepharoplasty is a surgical procedure focused on improving the form and function of the eyelids. Factors such as ageing, genetics, and skin elasticity can lead to changes including:
- Drooping or hooded upper eyelids
- Puffiness or bags beneath the eyes
- Loose skin that affects vision
- A heavy or fatigued appearance
By carefully refining the eyelid area, blepharoplasty helps create a more open, refreshed look while maintaining natural facial expression.
Blepharoplasty Options for Sussex Patients
Following a detailed consultation, your consultant will recommend the most appropriate treatment based on your anatomy and goals. Options may include:
Upper Eyelid Surgery
Designed to remove or reposition excess skin from the upper lids, helping to lift heaviness and, in some cases, improve visual comfort.
Lower Eyelid Surgery
Targets puffiness, eye bags, and loose skin beneath the eyes, creating a smoother and more youthful contour.
Combined Eyelid Procedures
For patients seeking comprehensive improvement, upper and lower eyelid surgery can be combined into a single, tailored treatment plan.
All procedures are planned with precision to achieve subtle, long-lasting results.
Your Blepharoplasty Journey for Sussex Patients
Your experience begins with a thorough consultation, during which your specialist will:
Surgery is performed using advanced techniques, followed by structured aftercare and follow-up appointments to support healing and results.
Benefits of Eyelid Surgery
Blepharoplasty can deliver a range of benefits, including:
- A brighter, more alert appearance
- Improved eyelid contour and facial harmony
- Enhanced vision where excess skin obstructs sight
- Long-lasting results compared to non-surgical treatments
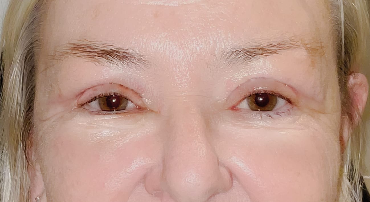
Before and Afters
These before-and-after images highlight the subtle yet transformative results that blepharoplasty can achieve. Our clients feel refreshed and rejuvenated, while maintaining their natural appearance.






Why Sussex Patients Choose Sapphire Eye Care
Patients across Sussex trust Sapphire Eye Care because we offer:
- Consultant-led care from experienced ophthalmic and oculoplastic surgeons
- Individually tailored treatment plans for natural-looking results
- High clinical standards within a professional medical environment
- Clear communication and supportive aftercare throughout the entire process
Our focus is always on safety, precision, and outcomes that feel right for each patient.
Patient Review
Blepharoplasty Costs for Sussex Patients
Blepharoplasty of upper lid (unilateral) From £2,866
Blepharoplasty of upper lids (bilateral) From £3,950
Blepharoplasty of lower lids (bilateral) From £5,700
Blepharoplasty of upper & lower lids (bilateral) From £8,040
Frequently Asked Questions
How long do the results last?
Will there be visible scars?
Incisions are carefully placed in natural eyelid creases, typically healing to fine, barely noticeable lines.
Can blepharoplasty improve my vision?
Yes, if sagging upper eyelid skin obstructs your field of vision, surgery can significantly improve sight.
When can I return to work?
Most patients feel comfortable returning after 1–2 weeks.
