Blepharoplasty (Eyelid Surgery)
Leading Specialists for Blepharoplasty Assessment, Surgery and Care
Blepharoplasty is an operation that removes excess skin or fat from the lower or upper eyelids. It is often undertaken for both cosmetic and functional reasons.
Our specialist oculoplastic surgeons provide expert eyelid assessments to determine whether a blepharoplasty operation may help enhance your appearance, restore your vision, or relieve discomfort caused by drooping or heavy eyelids.
Explore your Blepharoplasty options with a leading oculoplastic surgeon today.


You might notice that your peripheral vision is impaired.
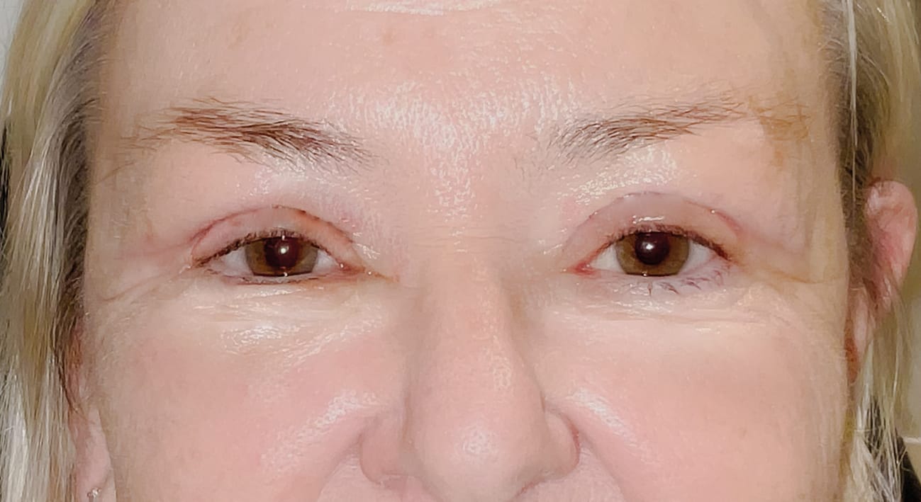
As we age, the skin around our eyes can lose elasticity and begin to droop.
In the upper eyelids, we call it dermatochalasis, and it can sometimes affect your visual field, making it harder to see to the sides or above. In the lower lids, ageing can cause fat to become more prominent, resulting in puffiness or under-eye bags.
Blepharoplasty can significantly improve both eye function and aesthetic appearance. Our team will carry out a detailed consultation to assess the structure and health of your eyelids and discuss the best approach moving forward for you.
Before and Afters
These before-and-after images highlight the subtle yet transformative results that blepharoplasty can achieve. Our clients feel refreshed and rejuvenated, while maintaining their natural appearance.












Frequently asked questions
What is Dermatochalasis?
- Dermatochalasis is excess of eyelid skin. It can present as an extra fold of skin, which may overhang the upper eyelashes.
- It is caused by the skin loosing its elasticity, usually due to age but is also seen in some medical conditions such as Thyroid related.
- It may be associated with prolapse of orbital fat causing the eyelid to bulge (eye bags). This may occur in the upper or lower eyelid.
- The lower lid may be lax or loose, which may cause it to sag or hang lower than in youth.
What is Blepharoplasty Surgery?
- A blepharoplasty is an operation to rejuvenate the eyelids and in some cases can improve vision where excess skin is obscuring it.
- It usually involves removal of excess eyelid skin.
- Depending on an individual, muscle or fat underlying the skin may also be removed, repositioned or tightened surgically.
- The procedure can be carried out in the upper or lower eyelid
Upper eyelid blepharoplasty:
- At the beginning of the operation the amount of skin to be removed will be carefully assessed. Marks will be drawn on the eyelid with a sterile marking pen to assist the surgeon during the procedure.
- The incision is based in the skin crease of the upper lid, which helps to minimise any sign that you have had upper lid surgery.
- After this, local anaesthetic will be injected under the skin of the eyelid and excess skin is then removed.
- Depending on your particular needs, the muscle beneath the skin may be preserved or partially removed.
- If there is fat prolapse, this may be treated with partial fat removal or repositioning.
- Sutures are placed to reform the natural skin crease in the eyelid.
- The skin edges are sutured together with either a continuous suture that is removed one week later or absorbable sutures that will naturally fall out after 2-3 weeks.
- It may be performed alone or in conjunction with other procedures such as lower eyelid surgery, ptosis surgery or brow surgery.
Lower eyelid blepharoplasty:
- There are several elements to lower lid blepharoplasty: skin, muscle, fat and eyelid laxity. The procedure will be tailored to your needs.
- Fat prolapse in the lower eyelid gives the appearance of ‘eye bags’. This fat can be excised or repositioned over the orbital rim to create a smoother transition from the eyelid into the cheek.
- Surgery on the prolapsed fat may be done without a skin incision from the inside of the eyelid – transconjunctival or via a skin incision just beneath the eyelashes – transcutaneous.
- The lower eyelid usually needs to be tightened at the time of surgery. Even a small amount of lid laxity can lead to postoperative lower lid retraction or ectropion if not addressed at the time of surgery.
- The orbicularis muscle, which lies directly beneath the skin is often tightened by placing sutures from it to the bony rim of the orbit – ‘orbicularis suspension’.
- Lower eyelid skin is excised in much smaller amounts than in the upper lid. This is to avoid the unwanted side effect following surgery of eyelid retraction.
What are the risks?
- Bleeding and bruising.
- Over or under correction of excess skin with the potential for residual bulging after surgery. Under correction does not usually necessitate revision surgery and is relatively common and preferable to over correction. Over correction results from removal of too much eyelid skin and/or fat with a resultant cosmetic sunken appearance to the eyelids after blepharoplasty).
- Asymmetry of the shape of the eyelids.
- Dry eye requiring the use of artificial teardrops temporarily blurred vision, which is usually temporary.
- Weak or limited eyelid blink (occurs due to excessive scarring)
- Weak or limited eyelid closure (especially at night)
- Should the cornea break down, partial closure of the eye with sutures may be necessary to protect it. Further corrective surgery may be necessary.
- Recurrence of excess skin/bag.
- The need for further eyelid surgery in the future.
- Cysts or whiteheads along suture sites.
- Temporary patches of numbness of the eyelids.
- Orbital haemorrhage with a potential for permanent visual loss
- Infection
- Scarring, or persistent eyelid swelling, and other unusual skin changes, especially in patients with thin sensitive skin, are extremely rare complications.
Crow’s feet are not generally improved by blepharoplasty. Smile lines are not improved by blepharoplasty and may change after surgery. In addition to the risks specific to the individual procedure, there are also general risks, such as blood loss, infection, cardiac arrest, airway problems and blood clots, which are associated with any surgical procedure. Local anaesthetic may cause bruising or possible allergic responses. If your operation is to be carried out under general anaesthetic, the anaesthetist will discuss this with you.
What are the benefits?
- Both eyelid dermatochalasis and eyebrow ptosis may reduce the visual field due to the hooding of skin over the eyelid; surgery can therefore improve visual function and relieve some headaches.
- It also will improve the appearance of the eyes with a fresher more awake look.
What are the alternatives?
If you choose not to have this surgery, the appearance and symptoms caused by the excess skin or fat is not likely to improve and may worsen over time, although this will not have any permanent detrimental effect on your vision or general health.
What should I expect after surgery?
- After surgery you may experience some pain. Simple paracetamol is usually enough to control this.
- The eyelids will be a bruised and swollen. Bruising will take approximately 2 weeks to settle. Swelling is greatly reduced after 2 weeks but may not completely resolve for several months.
- Some people report not feeling ‘back to normal’ for up to 6 months after surgery.
- Initially it may feel difficult for you to close your eyelids and this will be managed with eye ointments.
- It is important not to have surgery too close to important events, in case you have not fully recovered in time.


